6287 Taylorsville Rd Building #2, Fisherville, KY 40023
How To Choose The Right Type Of Dental Bridge For Your Smile?


How To Choose The Right Type Of Dental Bridge For Your Smile?
Choosing the right dental bridge is an important decision that can improve both your oral health and your smile. Whether you have missing teeth due to injury, decay, or aging, a dental bridge can help restore your bite, enhance your smile, and boost your confidence. But with several types of dental bridges available, how do you know which one is right for you? In this blog, we’ll guide you through the process of choosing the best dental bridge for your needs.
Types of Dental Bridges
There are several types of dental bridges, each designed to meet specific needs. Understanding each option will help you make the right choice for your smile.
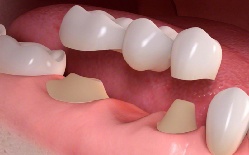
1. Traditional Dental Bridge
Best for: Replacing one or more missing teeth in a row.
A traditional dental bridge is the most common type and involves a false tooth (pontic) held in place by dental crowns on the adjacent teeth. The natural teeth on both sides of the gap are prepared to hold the crowns.
Benefits:
- These dental bridges are highly durable and effective for missing back teeth.
- Provides a strong and stable restoration.
- Often covered by dental insurance.
2. Cantilever Dental Bridge
Best for: Replacing a single missing tooth where there are healthy teeth on only one side.
A cantilever bridge is similar to a traditional bridge, but it only has one anchor tooth on one side of the missing tooth. It’s used when there are no adjacent teeth on the other side of the gap.
Benefits:
- Requires fewer modifications to surrounding teeth.
- Ideal for limited spaces.
3. Maryland Dental Bridge (Resin-Bonded Bridge)
Best for: People with missing front teeth, especially younger patients.
The Maryland bridge uses a metal or porcelain framework with “wings” that are bonded to the back of the adjacent teeth. It’s often used for replacing front teeth, where aesthetics are particularly important.
Benefits:
- No need to reduce healthy adjacent teeth significantly.
- Less invasive and more affordable.
- Great for replacing front teeth.
4. Implant-Supported Bridge
Best for: Patients with multiple missing teeth or those who don’t want to compromise their natural teeth.
An implant-supported bridge uses dental implants to support the false teeth. Instead of relying on adjacent teeth, this bridge is anchored by titanium implants surgically placed in the jawbone.
Benefits:
- Doesn’t require altering healthy natural teeth.
- Highly durable and long-lasting.
- Can replace multiple missing teeth at once.
5. Resin-Bonded Bridge
Best for: Replacing a single missing tooth in the upper front area.
A resin-bonded bridge is another minimally invasive option. It’s bonded to the adjacent teeth with resin, typically using porcelain or composite materials for the pontics.
Benefits:
- Minimally invasive with little to no tooth reduction.
- A cost-effective solution for replacing missing front teeth.
Factors To Consider While Choosing a Dental Bridge
When choosing the right dental bridge for your smile, there are a few key factors to consider. Let’s take a look at them:
1. Number of Missing Teeth
The number of teeth you need to replace is a significant factor in determining the type of dental bridge. A traditional bridge works well for replacing several consecutive teeth, while an implant-supported bridge may be better for those who need to replace multiple teeth, especially in areas with high bite pressure.
2. Condition of Adjacent Teeth
If your adjacent teeth are healthy and strong, a traditional or cantilever bridge may work well. However, if the surrounding teeth have decay or weak enamel, you may want to consider an implant-supported bridge, which doesn’t require altering existing teeth.
3. Aesthetic Preferences
If you’re replacing teeth in the front of your mouth, appearance will be a key factor. Maryland bridges and resin-bonded bridges offer a more discreet solution as they require minimal alteration of adjacent teeth and are often more aesthetically pleasing. They’re great options for people seeking a natural look.
4. Long-Term Durability
If you’re looking for a long-lasting solution, implant-supported bridges tend to be the most durable. Traditional bridges are also reliable but require maintenance and periodic adjustments. Be sure to consider how long you want the bridge to last and the level of maintenance required.
5. Cost
Dental implants can be more expensive upfront, but they provide long-term value due to their durability. Traditional and resin-bonded bridges are typically more affordable options, although they may need to be replaced after several years.
Advantages of Choosing The Right Dental Bridge
- Restored Functionality: A dental bridge helps restore the ability to chew, speak, and smile comfortably.
- Improved Appearance: Bridges can significantly improve your smile, enhancing your self-esteem.
- Prevent Shifting Teeth: Replacing missing teeth with a bridge prevents adjacent teeth from shifting out of position.
- Long-Term Solution: A dental bridge offers a permanent solution, especially if you choose an implant-supported bridge.
Choose Only The Best For Your Smile!
Selecting the right dental bridge depends on several factors, including the number of missing teeth, the condition of your remaining teeth, your aesthetic preferences, and your budget. It’s essential to consult with our dentist to explore the different options and choose the best solution for your oral health needs.
A well-chosen dental bridge can provide you with a functional, aesthetically pleasing, and long-lasting solution for missing teeth. Whether you opt for a traditional bridge, a cantilever bridge, or an implant-supported option, you can rest assured knowing that your smile is in good hands.
Don’t let missing teeth hold you back—take the first step toward restoring your smile with the right dental bridge.


